in-vitro / ex-vivo tests
New models of ageing – preclinical studies
Syntivia attended the 2020 virtual 7th edition of Anti-ageing skin care conference (3 – 5 November 2020), to present its latest developments in skin models of ageing on explants. In our presentation entitled “From petri dish to pre-clinical for predicting clinical results”, we presented our preliminary results on two new models of ageing in which […]
Ageing skin models – some news in virtual conference
Syntivia will soon attend the 2020 virtual 7th edition of Anti-ageing skin care conference (3 – 5 November 2020), to present its latest developments in ageing skin models on explants.These conferences will provide an opportunity to discuss the different aspects of ageing, new developments in skin care and new methods for evaluating anti-ageing treatments. This […]
VIRUS ON THE SKIN
NeoVirTech collaborates with Syntivia to develop a pipeline for the measurement of antiviral activities on living human skin explant. A strong partnership NeoVirTech is a biotechnology company developing autofluorescent viruses for imaging and antiviral discovery. The company has developed the ANCHORTM technology. It allows live cell imaging of virus infection, replication and propagation. The company […]
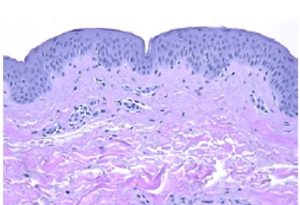
Human skin model to evaluate effect on premature aging
Syntivia recently published an article in the International Journal of Cosmetic Science, dealing with the development of one of its human skin models. This work, carried out in collaboration with the French National Centre for Scientific Research (CNRS) and the Toulouse Imaging Platform (TRI-Genotoul), has made it possible to develop a new study model that […]
Blue light cosmetic tests
Exposition to digital pollution is a growing concern among cosmetic products consumers. Such pollution comes from screens (smartphones, tablets, computers…) which are now omnipresent in our daily lives. Digital pollution results from the blue light emitted by screens and is now known to be harmful for eyes and quality of sleep. Human skin is exposed […]
Skin pigmentation studies for cosmetics
Skin pigmentation is still a biological mechanism of interest in the cosmetic field. Whether it is to lighten the skin, provide a tanning effect or homogenize the complexion, brands and ingredient suppliers are constantly looking for ever more active products. Research on the mechanisms involved in skin pigmentation has made it possible to identify new […]
Ex vivo sebaceous gland studies
Oily skin is a major concern for people of all skin types and ages around the world. When it comes to finding new treatments for oily skin and improve skin quality, the dermo-cosmetic industry focuses on controlling sebaceous glands, as they are in charge of sebum production. To study the response of sebaceous glands to new cosmetic […]
Syntivia supports the skin barrier function at E²BRN
Syntivia will attend the upcoming 16th Meeting of the European Epidermal Barrier Research Network (E²BRN) in Toulouse on September the 27th and 28th 2018. This meeting regroups scientists from European countries interested in a variety of aspects of epidermal barrier function. It tackles the epidermis that principally fulfills this function. Our wonderful scientists […]
Ex vivo tests to study Cosmetic Ingredient efficiency
Cosmetic brands and consumers are looking for more effective products. To help brands prove their product’s efficiency, new technology helps to quantify genes and protein expression, analyse the structure of skin compartments and study the different skin appendages. Ex vivo tests on proven skin models are an essential step before in vivo trials. The Syntivia […]
High-resolution Skin imaging
High resolution skin imaging to illustrate cosmetic claims The combination of biphoton and confocal microscopy opens up a wide range of possibilities for beautiful in-depth skin imaging to support cosmetic claims on any type of sample. The Syntivia team helps you obtain high quality 2D and 3D images to illustrate your ingredient’s properties with outstanding […]
How to study cosmetic efficacy in 3D
A new tool to visualize the 3D structure of human skin To analyse the effects of cosmetics on human skin, the gold standard remains histological examination. However, this method only allows to observe tissue sections in 2D, whereas natural human skin is organized in a 3D structure. In a recently published study, Syntivia’s Sophie Abadie […]
Syntivia technology complements cosmetic safety assessment
Hi-tech tools for additional safety data on cosmetics As an expert in cosmetic claims substantiation, Syntivia cultivates innovation and uses high-tech tools to scientifically demonstrate the activity of tested products based on reliable data and high-quality imaging. Syntivia’s technology also provides complementary data when it comes to assessing the safety of cosmetic products. Cosmetogenomic studies to predict and monitor […]
HOW CAN WE HELP ?
DESIGN / DEVELOPMENT / EVALUATIONSYNTIVIA expertly guides your cosmetic product and project towards results.
Contact us












